✨ Platform Features

Experience PathDojo in Action

See how it works. Try some PathDojo questions and explore the features that make our platform the best choice for pathology exam preparation.

See how it works. Try some PathDojo questions.
Sample Question Clinical Pathology

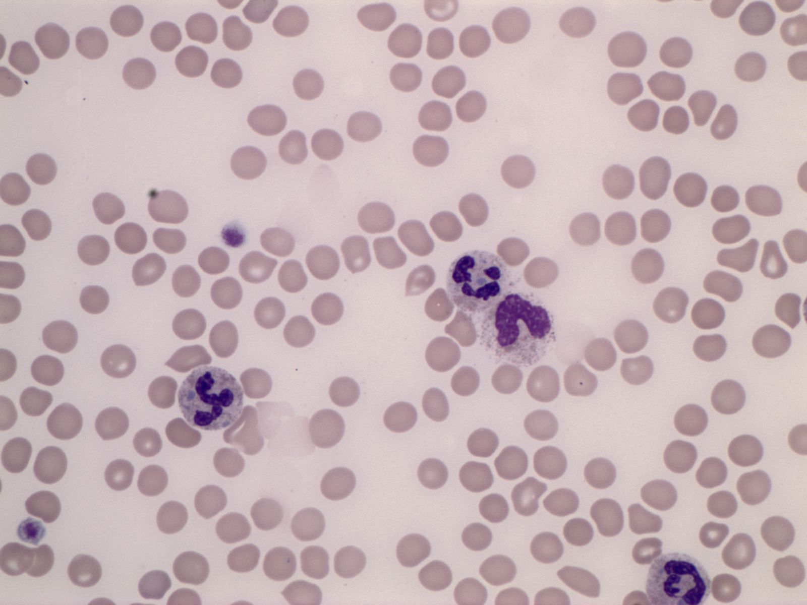
A peripheral blood smear shows light blue inclusions in the cytoplasm of neutrophils, and large platelets. Which of the following is the most likely diagnosis?

Summary: May-Hegglin anomaly: thrombocytopenia, giant platelets with few granules, and light blue inclusions peripherally located in the cytoplasm of granulocytes. AD.

What's Included in Every Plan

High-quality questions, extensive feedback, and modern technology make PathDojo one of the best online pathology review resources in the world. Each PathDojo plan includes the following features:

1700+ AP/CP Questions

Expert-written questions covering all aspects of anatomic and clinical pathology

Individual Plans Available

AP: 1050+ | CP: 850+ questions tailored to your specialty

In-Depth Explanations

Detailed explanations for all correct and incorrect answers to maximize learning

Timed Practice Tests

Simulate the exam environment with timed practice tests

Customizable Subjects

Subject-matter tests with customizable subjects and specialties

High-Quality Images

Professional medical images and detailed illustrations for visual learning

Mobile Optimized

Study anywhere on your phone, tablet, laptop, or desktop

Progress Tracking

Personal reports and statistics to track your improvement over time

Digital Study Tools

Quick reference materials and in-depth learning sessions available anywhere

Flexible Extensions

Extend your subscription time after sign-up to match your study schedule